Research: Finding a weak link in the frightful parasite Schistosoma —
The parasitic disease schistosomiasis is one of the developing world's worst public health scourges, affecting hundreds of millions of people, yet only a...
Research: Scientists show how energy landscape algorithm details DNA’s interphase dynamics —
The nuclei of cells are never static, even when the chromosomes they contain appear to be at rest. Theorists at Rice University have...
Research: Health-promoting phenolic acids lost during food processing —
For many Americans, highly processed foods are on the menu for breakfast, lunch, and dinner. Even when the raw materials -- grains, for...
Research: Researchers propose new criteria for protecting deep-sea biodiversity —
An international team of researchers has developed a comprehensive set of criteria to help the International Seabed Authority (ISA) protect local biodiversity from...
Research: Livestock feed accurately predicts toxic chemicals in food —
Persistent organic pollutants -- or POPs -- skulk around the environment threatening human health through direct contact, inhalation, and most commonly, eating contaminated...
Research: A key to mapping future storms —
If you can predict the path of the jet stream, the upper atmosphere's undulating river of wind, then you can predict weather --...
Research: What does the koala genome tell us about the taste of eucalyptus? New...
Koalas have long captured people's hearts and minds thanks to their cuddly features and seemingly relaxed demeanor.
Now, in a collaborative study by the...
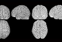
Research: Every person has a unique brain anatomy —
Like with fingerprints, no two people have the same brain anatomy, a study by researchers of the University of Zurich has shown. This...
Research: Evolutionary outcomes can be predicted —
For every two species of mammal there is one species of cichlid fish, which goes to show that biodiversity is distributed rather unevenly...
Research: Strengthening west winds close to Antarctica previously led to massive outgassing of carbon...
Stronger westerly winds in the Southern Ocean could be the cause of a sudden rise in atmospheric CO2 and temperatures in a period...
Top News
Hey ISIS, You Suck: Local Muslims Post Anti-ISIS Billboard
A new billboard on Manchester Road in Missouri reads, "HEY ISIS, YOU SUCK!!! From: #ActualMuslims."
A group of Muslim-Americans have put up a blunt billboard...




















