Study: How the office org chart in your brain helps to organize your actions...
Driving to work, typing an email or playing a round of golf -- people perform actions such as these throughout the day. But...
Study: Cellular butler protein organizes a cells genetic material from the sidelines — ...
A tremendous amount of genetic material must be packed into the nucleus of every cell -- a tiny compartment. One of the biggest...
Study: Device sends rotten food warning to smartphones — (Details)
When it comes to the "smell test," the nose isn't always the best judge of food quality. Now in a study appearing in...
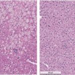
Study: Progress toward improved Wilson’s disease drug — (Details)
Researchers at Cold Spring Harbor Laboratory (CSHL), working in collaboration with DepYmed Inc., a CSHL spinout company, today report that they have conducted...
Study: Pulse wave analysis provides reliable information on heart health in young people —...
Arterial stiffness is one of the early signs of cardiovascular disease, and arterial stiffening has been observed in children. A recent study suggests...
Study: Researchers shed light on molecular mechanisms of inherited form of human deafness —...
A small-molecule drug is the first to preserve hearing in a mouse model of an inherited form of progressive human deafness, report investigators...
Study: Judging formidability from human vocalizations — (Details)
Many animals -- including sea lions, red deer, and dogs -- use vocalizations to judge one another's size and physical formidability when in...
Study: Competitive team sports shaped the physical and psychological skills of early humans —...
Competitive team games in which men test their mettle against others are universal across the world, and may have deep roots in our...
Study: The neuroscience of human vocal pitch — (Details)
Among primates, humans are uniquely able to consciously control the pitch of their voices, making it possible to hit high notes in singing...
Study: More than half of Amazonian armadillos carry leprosy — (Details)
The bacteria that causes leprosy, a chronic disease that can lead to disfigurement and nerve damage, is known to be transmitted to humans...
Top News
Hey ISIS, You Suck: Local Muslims Post Anti-ISIS Billboard
A new billboard on Manchester Road in Missouri reads, "HEY ISIS, YOU SUCK!!! From: #ActualMuslims."
A group of Muslim-Americans have put up a blunt billboard...




















