Study: High-contrast imaging for cancer therapy with protons — (Details)
Medical physicist Dr. Aswin Hoffmann and his team from the Institute of Radiooncology -- OncoRay at the Helmholtz-Zentrum Dresden-Rossendorf (HZDR) are the first...
Study: Safer and cheaper 3D medical imaging — (Details)
A new study led by The Australian National University (ANU) has discovered a promising way to significantly lower doses of X-rays that has...
Study: Derivatives from a commonly used anti-malarial can prevent Ebola virus from entering cells...
Robert Davey, professor of microbiology at Boston University School of Medicine and researcher at Boston University's National Emerging Infectious Diseases Laboratories (NEIDL), in...
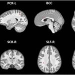
Study: Brain study shows roots of OCD — (Details)
They clean their hands, many times in a row. They click switches on and off, over and over. They check -- and re-check,...
Study: Youth football changes nerve fibers in brain — (Details)
MRI scans show that repetitive blows to the head result in brain changes among youth football players, according to a new study being...
Study: A prosthetic arm that decodes phantom limb movements — (Details)
About 75% of amputees exhibit mobility of their phantom limb. Using this information, in collaboration with physicians, researchers from CNRS and Aix-Marseille University...
Study: Baby up at night? Inactivity may be a culprit — (Details)
New Michigan State University research suggests babies who are less active get less sleep, something new parents may want to consider when looking...
Study: Flexible electronic skin aids human-machine interactions — (Details)
Human skin contains sensitive nerve cells that detect pressure, temperature and other sensations that allow tactile interactions with the environment. To help robots...
Study: Easy to use 3D bioprinting technique creates lifelike tissues from natural materials —...
Bioengineers at the University of California San Diego have developed a 3D bioprinting technique that works with natural materials and is easy to...
Study: High-throughput platform enables activity mapping of emerging cancer drug targets — (Details)
A powerful new biochemical platform is fueling the study of a family of enzymes that are promising targets for cancer treatment.
Published today in...
Top News
Hey ISIS, You Suck: Local Muslims Post Anti-ISIS Billboard
A new billboard on Manchester Road in Missouri reads, "HEY ISIS, YOU SUCK!!! From: #ActualMuslims."
A group of Muslim-Americans have put up a blunt billboard...




















