Scientists peer inside deadly pathogen’s burglary kit
Photo: The three-dimensional structure of a protein called the stringent starvation protein A,...
Research: Solving a mystery: How the TB bacterium develops rapid resistance to antibiotics
Photo: DNA methylation in the epigenetic domain holds the key to why the...
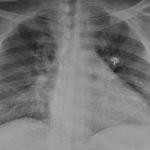
Research: Diabetes, hypertension may increase risk of Coronavirus brain complications
Photo: Chest X-ray of a SARS-CoV-2-positive patient exhibiting confusion and showing weakness on...
Research: Parasite infection discovery could assist mental health treatments
Photo: T.gondii parasites
view more
...
Researchers discover secret to superbug’s virulence in diabetic infections
Photo: Diabetes and MRSA Incidence
view more
...
Research: Elastic-free face masks can help some with allergies stay safe during Coronavirus
Photo: Yashu Dhamija, MD, is a fellow at the University of Cincinnati College...
Research: Antidepressant may prevent severe Coronavirus, trial suggests
Photo: A discovery by Alban Gaultier, PhD, of the University of Virginia School...
Research: With or without allergies, outcomes similar for hospitalized patients with Coronavirus
Photo: This year's meeting is virtual!
view...
Research of nearly 2,000 Marine recruits reveals asymptomatic SARS-CoV-2 transmission
Photo: Stuart C. Sealfon, MD, Professor of Neurology at the Icahn School of...
Research: Targeted therapies developed to reduce lung fibrosis
Photo: A new treatment option for lung fibrosis is being developed by Philip...
Top News
Hey ISIS, You Suck: Local Muslims Post Anti-ISIS Billboard
A new billboard on Manchester Road in Missouri reads, "HEY ISIS, YOU SUCK!!! From: #ActualMuslims."
A group of Muslim-Americans have put up a blunt billboard...




















