Study: Chromosome DNA packed in stacked layers — (Details)
A new study based on electron microscopy techniques at low temperatures demonstrates that, during mitosis, chromosome DNA is packed in stacked layers of...
Study: Neurons from people with autism exhibit different patterns of growth and develop at...
Autism spectrum disorder (ASD) is a relatively common developmental disorder of communication and behavior that affects about 1 in 59 children in the...
Study: Should researchers engineer a spicy tomato? — (Details)
The chili pepper, from an evolutionary perspective, is the tomato's long-lost spitfire cousin. They split off from a common ancestor 19 million years...
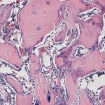
Study: New biomarker for colorectal cancers Identified — (Details)
Johns Hopkins researchers have identified a protein involved in cell proliferation and the development of new blood vessels that could serve as a...
Study: If harnessed in people, it could speed recovery for bone breaks, spinal fusions,...
In experiments in rats and human cells, Johns Hopkins Medicine researchers say they have added to evidence that a cellular protein signal that...
Study: Computers can be a real pain in the neck — (Details)
It's a posture so common we almost don't notice it anymore: someone sitting at a computer jutting his or her head forward to...
Study: Patients with lung disease could find relief by breathing in messenger RNA molecules...
Messenger RNA, which can induce cells to produce therapeutic proteins, holds great promise for treating a variety of diseases. The biggest obstacle to...
Study: A model for describing the hydrodynamics of crowds — (Details)
Precise simulations of the movement and behavior of crowds can be vital to the production of digital sequences or the creation of large...
Study: Computer program can translate a free-form 2-D drawing into a DNA structure —...
Researchers at MIT and Arizona State University have designed a computer program that allows users to translate any free-form drawing into a two-dimensional,...
Study: Research challenges 75-year-old dogma of mammalian vision — (Details)
The visual system is probably the best understood part of the brain. Over the past 75 years, neuroscientists have assembled a detailed account...
Top News
Hey ISIS, You Suck: Local Muslims Post Anti-ISIS Billboard
A new billboard on Manchester Road in Missouri reads, "HEY ISIS, YOU SUCK!!! From: #ActualMuslims."
A group of Muslim-Americans have put up a blunt billboard...




















