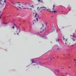
Study: Researchers define cells used in bone repair — (Details)
Research led by Johns Hopkins investigators has uncovered the roles of two types of cells found in the vessel walls of fat tissue...
Study: Correlated nucleons may solve 35-year-old mystery — (Details)
A careful re-analysis of data taken at the Department of Energy's Thomas Jefferson National Accelerator Facility has revealed a possible link between correlated...
Study: Salk scientists identify possible healing compound in Yerba santa — (Details)
The medicinal powers of aspirin, digitalis, and the anti-malarial artemisinin all come from plants. A Salk Institute discovery of a potent neuroprotective and...
Study: Updated, safer versions of diphtheria fusion toxin DAB-IL-2 show promise in reducing tumor...
Researchers at the Bloomberg~Kimmel Institute for Cancer Immunotherapy at Johns Hopkins and the Johns Hopkins University School of Medicine report two new forms...
Study: Study reveals disguises are surprisingly effective — (Details)
Superficial but deliberate changes in someone's facial appearance -- such as a new hairstyle or complexion -- are surprisingly effective in identity deception,...
Study: A lack of antibody diversity may make the elderly more susceptible to the...
The influenza vaccine may be less effective in the elderly because their B cells are less capable of producing antibodies that can adapt...
Study: Scientists create new map of brain’s immune system — (Details)
A team of researchers under the direction of the Medical Center -- University of Freiburg has created an entirely new map of the...
Study: New nanoparticle makes urine glow as soon as T cells initiate an attack...
Too often, it's only after a transplanted organ has sustained serious damage that a biopsy reveals the organ is in rejection. A new...
Study: Altered brain activity patterns of Parkinson’s captured in mice — (Details)
The tell-tale tremors of Parkinson's disease emerge from abnormal activity in a brain region crucial for voluntary movement. Using a mouse model of...
Study: Engineers can detect ultra rare proteins in blood using a cellphone camera —...
One of the frontiers of medical diagnostics is the race for more sensitive blood tests. The ability to detect extremely rare proteins could...
Top News
Hey ISIS, You Suck: Local Muslims Post Anti-ISIS Billboard
A new billboard on Manchester Road in Missouri reads, "HEY ISIS, YOU SUCK!!! From: #ActualMuslims."
A group of Muslim-Americans have put up a blunt billboard...




















