Study: Why you lose hearing for a while after listening to loud sounds —...
When we listen to loud sounds, our hearing may become impaired for a short time. Researchers at Linköping University, Sweden, have discovered a...
Study: Catching some midday shut-eye linked to similar drops in blood pressure seen with...
It seems that napping may do more than just reboot our energy level and improve our mood. New research being presented at the...
Study: A million functional microscopic robots produced from a 4-inch silicon wafer in new...
Researchers have harnessed the latest nanofabrication techniques to create bug-shaped robots that are wirelessly powered, able to walk, able to survive harsh environments...
Study: Crystal-clear view of a key neuronal receptor opens door for new, targeted drugs...
During brain development, billions of neuron nerve cells must find their accurate pathway in the brain in order to form trillions of neuronal...
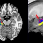
Study: Three ways studying organic chemistry changes the brain — (Details)
Academic learning is about gaining new knowledge and skill, but only recently has it been possible to see new knowledge appear in a...
Study: How the microbiota controls neutrophil activity — (Details)
A host protein called Serum Amyloid A (Saa) is a major factor mediating the effects of the microbiota on the function of immune...
Study: The novel model mimics human acne and introduces new possibilities for targeted treatments...
Researchers have long believed that Propionibacterium acnes causes acne. But these bacteria are plentiful on everyone's skin and yet not everyone gets acne,...
Study: Scientists produce brain organoids with primitive eyes using computational fluid dynamics — ...
Scientists improved the initial steps of a standard protocol and produced organoids displaying regionalized brain structures, including retinal pigmented cells. The announcement was...
Study: Diet may be a key factor for Influenza A virus exposure in wild...
Given the importance and wide distribution of Influenza A viruses, it is surprising how little is known about infections of wild mammals. A...
Study: Near-infrared technology pinpoints fluorescent probes deep within living tissue; may be used to...
Many types of cancer could be more easily treated if they were detected at an earlier stage. MIT researchers have now developed an...
Top News
Hey ISIS, You Suck: Local Muslims Post Anti-ISIS Billboard
A new billboard on Manchester Road in Missouri reads, "HEY ISIS, YOU SUCK!!! From: #ActualMuslims."
A group of Muslim-Americans have put up a blunt billboard...




















