Study: Vinegar flies process conflicting odors in the brain by impairing the perception of...
Vinegar flies are always exposed to odor mixtures when navigating in the natural environment. These mixtures often consist of odors which are both...
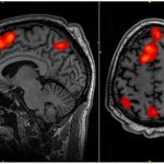
Study: Singing a song in your head prior to actual performance might be counterproductive...
Though it's easy to hear a singer hit a bad note, what's contributing to that inaccuracy might actually be inaudible.
Sub-vocalization, the silent, preparatory...
Study: Opsins make ‘blind’ cells light-sensitive; potential human treatment within three years — ...
It was surprisingly simple. University of California, Berkeley, scientists inserted a gene for a green-light receptor into the eyes of blind mice and,...
Study: Schwann cells protect nerves against blood clotting factors that cause degeneration — ...
Salk researchers have found, for the first time, that a blood-clotting protein can, unexpectedly, degrade nerves -- and how nerve-supporting glial cells, including...
Study: Noninvasive treatment improves memory and reduces amyloid plaques in mice — (Details)
By exposing mice to a unique combination of light and sound, MIT neuroscientists have shown that they can improve cognitive and memory impairments...
Study: Machine learning tracks moving cells — (Details)
Both developing babies and elderly adults share a common characteristic: the many cells making up their bodies are always on the move. As...
Study: New cell subtypes classified in mouse brain — (Details)
It's been estimated that the human brain contains roughly 100 billion neurons, together completing countless tasks through countless connections. So how do we...
Study: Potential cystic fibrosis treatment uses ‘molecular prosthetic’ for missing lung protein — ...
An approved drug normally used to treat fungal infections could also do the job of a protein channel that is missing in the...
Study: Short-term memory focuses on things we label as ‘ours,’ no matter how random...
You're in the middle of a conversation and suddenly turn away because you heard your name. Don't worry, you aren't rude.
Our minds automatically...
Study: Drug delivery system would allow patients to switch from daily to monthly doses...
Tuberculosis is one of the world's deadliest infectious diseases: One-third of the world's population is infected with TB, and more than 1 million...
Top News
Hey ISIS, You Suck: Local Muslims Post Anti-ISIS Billboard
A new billboard on Manchester Road in Missouri reads, "HEY ISIS, YOU SUCK!!! From: #ActualMuslims."
A group of Muslim-Americans have put up a blunt billboard...




















