Study: Scientists find brain mechanism that naturally combats overeating — (Details)
Food is, generally speaking, a good thing. In addition to being quite tasty, it is also necessary for survival. That's why animals have...
Study: Findings extend understanding of how a continuous supply of neurons throughout life is...
It was once believed that mammals were born with the entire supply of neurons they would have for a lifetime. However, over the...
Study: Novel brain map tracks early brain atrophy from HIV infection — (Details)
A new map of brain tissue in people with HIV shows atrophy in several areas including a primary neurocognitive control center where shrinkage...
Study: Scientists have combined the simplicity of paper with the complexity of quantum physics...
Paper-based diagnostic tests are cheap, convenient and biodegradable. However, their use is limited by conventional dyes -- which are not bright enough to...
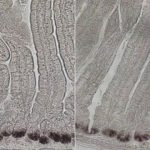
Study: Biologists find a way to boost intestinal stem cell populations — (Details)
Cells that line the intestinal tract are replaced every few days, a high rate of turnover that relies on a healthy population of...
Study: Arbitrary categories improve visual learning transfer, study finds — (Details)
Many brain training games claim to improve mental performance, but a growing body of cognitive research shows that while participants get better on...
Study: Biomedical engineers grow cardiac patches to help people recover from heart attacks —...
A team led by Feng Zhao, associate professor of biomedical engineering at Michigan Technological University, recently published two new papers on best practices...
Study: Offspring of older mothers are more responsive to aging interventions — (Details)
Advanced maternal age at the time of giving birth is known to decrease how long the offspring will live and their fecundity. However,...
Study: Engineers craft the basic building block for electrospun nanofibers — (Details)
Electrospinning uses electric fields to manipulate nanoscale and microscale fibers. The technique is well-developed but time-intensive and costly. A team from Michigan Technological...
Study: In mice, single population of stem cells contributes to lifelong hippocampal neurogenesis —...
Scientists once thought that mammals entered adulthood with all of the neurons they would ever have, but studies from the 60s found that...
Top News
Hey ISIS, You Suck: Local Muslims Post Anti-ISIS Billboard
A new billboard on Manchester Road in Missouri reads, "HEY ISIS, YOU SUCK!!! From: #ActualMuslims."
A group of Muslim-Americans have put up a blunt billboard...




















