Tech: Ultra-hot gas around remnants of sun-like stars — (Report)
Solving a decades-old mystery, an international team of astronomers have discovered an extremely hot magnetosphere around a white dwarf, a remnant of a...
Tech: Ultimate battle of sonar systems — (Report)
Active sensors are incorporated into a number of technologies, such as meteorology devices and self-driving cars, and use the echo from sound, radio...
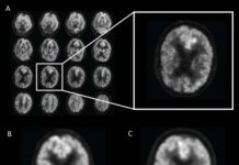
Tech: Artificial intelligence predicts Alzheimer’s years before diagnosis — (Report)
Artificial intelligence (AI) technology improves the ability of brain imaging to predict Alzheimer's disease, according to a study published in the journal Radiology.
Timely...
Tech: Ultrathin, ultralight 'nanocardboard' (Report)
Engineers have demonstrated a new material they call 'nanocardboard,' an ultrathin equivalent of corrugated paper cardboard. A square centimeter of nanocardboard weighs less...
Tech: Precision measurement takes it to the limit — (Report)
Griffith University researchers have demonstrated a procedure for making precise measurements of speed, acceleration, material properties and even gravity waves possible, approaching the...
Tech: Coping with errors in the quantum age — (Report)
Quantum systems can be manipulated with extremely high, but not with perfect precision. Researchers have now demonstrated how errors that occur during such...
Tech: Hydropower, innovations and avoiding international dam shame (Report)
For sweeping drama, it's hard to beat hydropower from dams -- a renewable source of electricity that helped build much of the developed...
Tech: New efficiency record set for perovskite LEDs — (Report)
Researchers have set a new efficiency record for LEDs based on perovskite semiconductors, rivalling that of the best organic LEDs (OLEDs).
Compared to OLEDs,...
Tech: Detecting E. coli strains using molecular electronics — (Report)
Finding a fast and inexpensive way to detect specific strains of bacteria and viruses is critical to food safety, water quality, environmental protection...
Tech: Borexino sheds light on solar neutrinos — (Report)
For more than ten years, the Borexino detector located 1,400 meters below surface of the Italian Gran Sasso massif has been exploring the...
Top News
Hey ISIS, You Suck: Local Muslims Post Anti-ISIS Billboard
A new billboard on Manchester Road in Missouri reads, "HEY ISIS, YOU SUCK!!! From: #ActualMuslims."
A group of Muslim-Americans have put up a blunt billboard...



















