Research: Marsupial lived among Arctic dinosaurs —
A research team has discovered a previously unknown species of marsupial that lived in Alaska's Arctic during the era of dinosaurs, adding a...
Research: Fishing boats now travel more than 250 miles to catch the fish that...
As the oceans warm in response to climate change, fishing boats in the Mid-Atlantic that focus on only one or two species of...
Research: Artificial intelligence to boost Earth system science —
A study by German scientists from Jena and Hamburg, published today in the journal Nature, shows that artificial intelligence (AI) can substantially improve...
Research: Quarrying of Stonehenge ‘bluestones’ dated to 3000 BC —
Excavations at two quarries in Wales, known to be the source of the Stonehenge 'bluestones', provide new evidence of megalith quarrying 5,000 years...
Research: Rising temperatures feed more energy to thunderstorms, less to general circulation —
Climate change is shifting the energy in the atmosphere that fuels summertime weather, which may lead to stronger thunderstorms and more stagnant conditions...
Research: Sleep-modulating hormone hypocretin found to also control production of inflammatory cells —
Getting enough sleep is key to good health, and studies have shown that insufficient sleep increases the risk of serious problems, including cardiovascular...
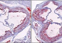
Research: Breakthrough toward developing blood test for pain —
A breakthrough test developed by Indiana University School of Medicine researchers to measure pain in patients could help stem the tide of the...
Research: Huge genome reveals sequence adaptations in key wound healing and genome stability genes...
The great white shark is one of the most recognized marine creatures on Earth, generating widespread public fascination and media attention, including spawning...
Research: Preserved leaves reveal 7000 years of rainfall and drought —
A study by University of Adelaide researchers and Queensland Government scientists has revealed what south-east Queensland's rainfall was like over the last 7000...
Research: Physicists pinpoint a simple mechanism that makes bacteria resistant to antibiotics —
Physicists at McMaster University have for the first time identified a simple mechanism used by potentially deadly bacteria to fend off antibiotics, a...
Top News
Hey ISIS, You Suck: Local Muslims Post Anti-ISIS Billboard
A new billboard on Manchester Road in Missouri reads, "HEY ISIS, YOU SUCK!!! From: #ActualMuslims."
A group of Muslim-Americans have put up a blunt billboard...




















