Biology: Ancient crocodiles’ family tree reveals unexpected twists and turns
Photo: Artist's impression of Macrospondylus- an extinct fossil group of teleosauriods.
...
Study: New kind of superconductivity discovered (TDnews)
Photo: Polarized light images show researchers how electrons, represented by red crosses, in...
Climate Change: On the hunt for wild bananas in Papua New Guinea
Photo: Scientists Bart Panis and a local guide hold their rare find of...
Space: Seeing dark matter in a new light
Photo: Artist's impression of a galaxy surrounded by gravitational distortions due to dark...
Archaeology: Population dynamics and the rise of empires in Inner Asia
Photo: A leaning Deer Stone placed in front of dozens of small stone...
Biology: A brief pilot intervention enhances preschoolers’ self-regulation and food liking
AUDIO: Lead investigator Sara A. Schmitt, PhD, Purdue University, reports that an intervention...
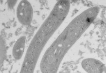
Study: When malaria parasites trick liver cells to let themselves in (TDnews)
Photo: Electron microscopy image of sporozoites with EXP2 labeling.
...
Climate Change: Decrease in fossil-fuel CO2 emissions due to Coronavirus detected by atmospheric observations
Photo: Birds-eye view photo of Hateruma Island (left) and the monitoring station on...
Space: RUDN University physicist developed software solution to measure the black holes stability
Photo: Even if a black hole can be described with a mathematical model,...
Extreme exoplanet likely has lava oceans and rain made of rocks (Study)
Among the most extreme planets discovered beyond the edges of our solar system are lava planets: fiery hot worlds that circle so close to...
Top News
Hey ISIS, You Suck: Local Muslims Post Anti-ISIS Billboard
A new billboard on Manchester Road in Missouri reads, "HEY ISIS, YOU SUCK!!! From: #ActualMuslims."
A group of Muslim-Americans have put up a blunt billboard...




















