Study: Epigenetic protein could be new therapeutic target in acute myeloid leukemia — ...
British researchers have discovered that an epigenetic protein called EZH2 delays the development of acute myeloid leukemia (AML) but then switches sides once...
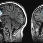
Study: Measuring differences in brain chemicals in people with mild memory problems — ...
Using strong and targeted but noninvasive magnets at specific sites in the brains of people with and without mild learning and memory problems,...
Study: New technique for in-cell distance determination — (Details)
In a joint paper which has just been published in The Journal of Physical Chemistry Letters, researchers from the University of Konstanz, Bielefeld...
Study: Study finds test of protein levels in the eye a potential predictor of...
Low levels of amyloid-β and tau proteins, biomarkers of Alzheimer's disease (AD), in eye fluid were significantly associated with low cognitive scores, according...
Study: Plant cellulose can pave the way for healthy bone implants — (Details)
Researchers from the University of British Columbia and McMaster University have developed what could be the bone implant material of the future: an...
Study: Discovery could unlock new therapies — (Details)
Scientists have long known that the protein p53, when mutated, is a critical factor in the onset of many different kinds of cancer....
Study: Study may open the door to developing drug therapies or even gene therapies...
Scientists at Scripps Research have found that they can reverse the desire to drink in alcohol-dependent rats -- with the flip of a...
Study: New cell composition may lead to less effective future response — (Details)
Meningitis, a group of serious diseases which infect the brain's lining, leaves its mark and can affect the body's ability to fight such...
Study: Prenatal testosterone linked to long-term effects in females who share womb with male...
Women who shared their mother's womb with a male twin are less likely to graduate from high school or college, have earned less...
Study: ‘Inflamm-aging’ causes loss of bone healing ability in the elderly — (Details)
Increases in chronic inflammation -- not the passage of time -- is the main reason why injured bones do not heal as well...
Top News
Hey ISIS, You Suck: Local Muslims Post Anti-ISIS Billboard
A new billboard on Manchester Road in Missouri reads, "HEY ISIS, YOU SUCK!!! From: #ActualMuslims."
A group of Muslim-Americans have put up a blunt billboard...




















