Study: First ratings for youth football helmets address sport’s largest pool of athletes —...
The majority of people playing football in the U.S. aren't NFL players or collegiate athletes -- they're youth players, less than 14 years...
Study: Discovery in laboratory mice suggests possible role for anti-cancer drugs in treating pulmonary...
A protein associated with cancer growth appears to drive the deadly lung disease known as idiopathic pulmonary fibrosis, according to new research from...
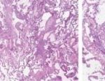
Study: Radiomics predicts who will benefit from chemotherapy — (Details)
Using data from computed tomography (CT) images, researchers may be able to predict which lung cancer patients will respond to chemotherapy, according to...
Study: A slowdown in image processing speeds up our perception of time passing as...
A Duke University researcher has a new explanation for why those endless days of childhood seemed to last so much longer than they...
Study: Bile acid-triggered bacterial adaptation characterized — (Details)
When bacteria enter the digestive tracts of their hosts, including humans, they encounter a highly acidic environment. Bacteria have evolved elegant mechanisms to...
Study: How our body ‘listens’ to vibrations — (Details)
We all know the feeling of a mobile phone vibrating in our hands when announcing an incoming call. If we perceive these vibrations...
Study: Active substance from plant slows down aggressive eye cancer — (Details)
An active substance that has been known for 30 years could unexpectedly turn into a ray of hope against eye tumors. This is...
Study: Interactive maps can guide surveillance efforts, protect human health — (Details)
In the Americas, primate species likely to harbor Zika -- and potentially transmit the virus -- are common, abundant, and often live near...
Study: Trail-and-error experimentation in drug design can be omitted by control over location in...
Researchers at Eindhoven University of Technology and Utrecht University have discovered the parameters that govern the encapsulation of drugs. This gives more control...
Study: Promising imaging technique for brain research — (Details)
A new imaging method provides structural information about brain tissue that was previously difficult to access. Diattenuation Imaging (DI), developed by scientists at...
Top News
Hey ISIS, You Suck: Local Muslims Post Anti-ISIS Billboard
A new billboard on Manchester Road in Missouri reads, "HEY ISIS, YOU SUCK!!! From: #ActualMuslims."
A group of Muslim-Americans have put up a blunt billboard...




















