Study: Knockout of Ptpn21 alters deformability — (Details)
Scientists at Winship Cancer Institute of Emory University, Children's Healthcare of Atlanta and Georgia Tech have found that modulating blood-forming stem cells' stiffness...
Study: How does estrogen protect bones? Unraveling a pathway to menopausal bone loss —...
Researchers at Tokyo Medical and Dental University (TMDU) and The University of Tokyo find a connection between estrogen and bone health that may...
Study: Altered neuron growth and gene expression may be related to why some depressed...
Selective serotonin reuptake inhibitors (SSRIs) are the most commonly prescribed medication for major depressive disorder (MDD), yet scientists still do not understand why...
Study: Technique could aid early detection and treatment of certain eye diseases — ...
Cells of the retinal pigment epithelium (RPE) form unique patterns that can be used to track changes in this important layer of tissue...
Study: Discovery paves way for precision medicine in future — (Details)
University of Otago scientists have discovered a way to view the immune cell "landscape" of bowel cancer tumours, paving the way towards more...
Study: Blue Brain solves a century-old neuroscience problem — (Details)
New research explains how the shapes of neurons can be classified using mathematical methods from the field of algebraic topology. Neuroscientists can now...
Study: Fertility restored in non-human primate model of childhood cancer survivorship — (Details)
One in three childhood cancer survivors is at risk of becoming infertile due to chemotherapy or radiation, and since their sperm or eggs...
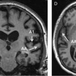
Study: Study of rare dementia shows selective attack on areas of brain — ...
Patients in a new Northwestern Medicine study were able to comprehend words that were written but not said aloud. They could write the...
Study: Everolimus, carboplatin together slow low-grade glioma tumor growth, reduce tumor size — ...
A new combination treatment aimed at resistant and recurrent low-grade gliomas slowed tumor growth and killed tumor cells in laboratory and mouse models.
Researchers...
Study: Protein BRCA1 as a stress coach — (Details)
Anyone who has ever studied the molecular basis of breast cancer will probably have heard of the abbreviation BRCA1 -- this is a...
Top News
Hey ISIS, You Suck: Local Muslims Post Anti-ISIS Billboard
A new billboard on Manchester Road in Missouri reads, "HEY ISIS, YOU SUCK!!! From: #ActualMuslims."
A group of Muslim-Americans have put up a blunt billboard...




















