Study: Despite transition period, maximal running shoes may still increase risk of injury —...
A six-week transition period did not help wearers adjust to "maximal" running shoes, indicating that increased impact forces and loading rates caused by...
Study: Smart antioxidant-containing polymer responds to body chemistry, environment — (Details)
Oxidants found within living organisms are byproducts of metabolism and are essential to wound-healing and immunity. However, when their concentrations become too high,...
Study: How inflammation causes gastric cancer — (Details)
In 1982, researchers reported a link between chronic gastritis and stomach bacterium Helicobacter pylori, triggering a flurry of research into this newly-identified pathogen....
Study: Researchers combine CRISPR gene-editing technology with drug discovery to understand why treatment works...
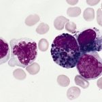
11,000 people are predicted to die from acute myeloid leukemia (AML) in 2019, according to the American Cancer Society. The cancer starts in...
Study: Precise decoding of breast cancer cells creates new option for treatment — ...
Researchers have investigated the varying composition of cancer and immune cells in over one hundred breast tumors. They've found that aggressive tumors are...
Study: Targeting protein known as UHRF1 may shrink tumors by restoring aberrant gene regulation...
Working with human colon cancer cells and mice, researchers led by experts at the Johns Hopkins Kimmel Cancer Center say they have successfully...
Study: Protein complex may help prevent neurodegenerative diseases — (Details)
Researchers from the Universities of Konstanz (Germany), Leeds (UK) and Stanford (USA) have discovered that the nascent polypeptide-associated complex (NAC) helps to prevent...
Study: Unusually small antibodies, targeted to the tumor micro-environment, curb melanoma and colon cancer...
In 1989, two undergraduate students at the Free University of Brussels were asked to test frozen blood serum from camels, and stumbled on...
Study: As memories fade, can we supercharge them back to life? — (Details)
In a groundbreaking study published in Nature Neuroscience, Rob Reinhart, an assistant professor of psychological and brain sciences at Boston University and BU...
Study: Study uses cell-by-cell analyses to look for new therapies that might work —...
Cell-by-cell genetic analyses of developing brain tissues in neonatal mice and laboratory models of brain cancer allowed scientists to discover a molecular driver...
Top News
Hey ISIS, You Suck: Local Muslims Post Anti-ISIS Billboard
A new billboard on Manchester Road in Missouri reads, "HEY ISIS, YOU SUCK!!! From: #ActualMuslims."
A group of Muslim-Americans have put up a blunt billboard...




















